Feline Arterial Thromboembolism (FATE) in Cats
What is Feline Arterial Thromboembolism (FATE)?
Feline Arterial Thromboembolism, or FATE, is one of the most serious consequences of cardiac disease in cats. When a cat has advanced cardiomyopathy (heart disease), the left atrium in their heart can become enlarged, which results in decreased blood flow in that area.
Blood clots, also known as emboli, can then form and break loose, entering the body’s circulatory system and causing blockage of blood flow to the cat’s limbs, other organs, or brain. Most commonly, the blood clot will exit the heart, travel
down the aorta (the body’s main artery), and lodge in the iliac arteries (the body’s main blood supply to the hind end), resulting in complete blockage of blood flow to the cat’s rear legs.
Although uncommon, these blood clot events can occur secondary to non-cardiac related causes, too, including cancer and protein loss.
What are the symptoms of FATE?
When a clot lodges in the iliac arteries, cats will develop a sudden onset of weakness and an inability to use their rear legs. This sudden paralysis is often accompanied by pain, vocalization (crying), and difficulty breathing.
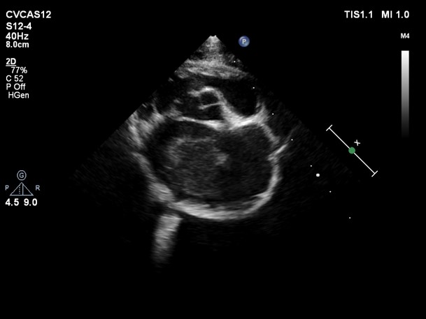
Image (Echocardiogram showing large clot in left atrium of heart).
If your cat is displaying these signs, you should seek urgent veterinary care. FATE is a medical emergency, as blood clots can potentially travel to any part of the body. Clinical signs can vary, including front limb lameness, inappropriate mentation
(unsteady walk, balance issues, disorientation, etc.), or even sudden death.
How can FATE be prevented?
If your cat has an enlarged left atrium, your Veterinary Cardiologist may prescribe
medications to help prevent the occurrence of an inappropriate blood clot (most commonly clopidogrel (Plavix) and/or aspirin). Choice of medication is dependent on your cat’s individual risk factors and will be determined by the Board-certified
Cardiologist.
There are likely certain genetic factors that affect your cat’s risk for forming blood clots. Some risks for clot occurrences are sadly unpreventable and may be beyond current medical therapies.
What is the prognosis for cats with FATE?
If a blood clot enters the cat’s circulation, the overall prognosis for the patient is sadly poor. With aggressive medical therapy and supportive care to control pain, maintain body temperature, treat heart failure if present, and promote increased
circulation, data suggests that 15-50% of cats can survive an initial clot event.
The road to recovery in cats with FATE can be long and it is difficult to predict how quickly or completely an individual cat will regain function of the affected limb(s). If pain or heart failure cannot be adequately controlled, very sadly, euthanasia
may be the best choice for your beloved cat.
Some cats that survive the initial episode will never have an additional event; however, most cats will have another clot event within 6-12 months despite aggressive anti-clot therapy.
Articles by Specialty
- Cardiology (19)
- Large Animal Internal Medicine (23)
- Neurology (17)
- Oncology (21)
- Small Animal Internal Medicine (29)
Articles by Animal
- Cats (35)
- Dogs (52)
- Farm Animals (5)
- Horses (12)
